Is your child struggling with snoring, mouth breathing, or crowded teeth? The HealthyStart® system is a revolutionary, non-invasive treatment that addresses the root cause of these issues early on. At Rosehill Dentistry, Dr. Rickabaugh helps children develop healthier airways, achieve straighter teeth naturally, and get the restful sleep they need to thrive – all without traditional braces.
The HealthyStart system is a series of soft, comfortable, removable oral appliances worn at night. Unlike traditional orthodontics that often wait for problems to become severe, HealthyStart dentistry works by guiding your child’s natural growth.
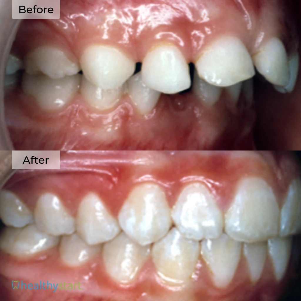
This innovative HealthyStart appliance helps widen the dental arches and encourages proper jaw and airway development. The result? It not only straightens teeth but can also resolve symptoms of sleep-disordered breathing, leading to better sleep, improved focus, and a healthier life. It’s the pain-free, proactive approach to your child’s oral and overall health.
Many common childhood health and behavioral issues can be traced back to underdeveloped airways and poor sleep quality. If you notice any of the following symptoms in your child, they could be an ideal candidate for HealthyStart:
Choosing the right provider is essential for your child’s health journey. At Rosehill Dentistry in Lenexa, KS, we are committed to providing the most advanced and compassionate care. Dr. Rickabaugh is a certified HealthyStart dentist with the expertise and experience to guide your child’s development effectively.

Complimentary Consultations | We offer no-cost, no-obligation consultations to assess your child’s needs and determine if they are a candidate for this life-changing treatment.
Kid-Friendly & Welcoming Office | Our office is designed to be a fun and relaxing environment, helping children feel comfortable and stress-free during their visits.
Local, Privately-Owned Practice | As a private practice, not a corporate chain, we provide truly personalized, patient-first care that is tailored to your family’s unique needs.
The HealthyStart appliance is a soft, removable oral device worn primarily while your child sleeps. It works by gently guiding the growth of the jaw and teeth into their proper positions, promoting nasal breathing and helping to develop a healthy airway.
HealthyStart is most effective during a child’s active growth phases. Treatment can begin as early as age 2, with the ideal window typically between ages 4 and 12. Early evaluation is key to addressing issues before they become more complex.
Braces typically focus on straightening teeth after permanent teeth have erupted, often requiring extractions. HealthyStart is a non-invasive, early intervention treatment that addresses the root cause of crooked teeth and sleep-disordered breathing by guiding natural growth, often preventing the need for braces later on.
The treatment duration varies depending on the child’s specific needs and compliance. It involves a series of appliances used in phases as the child grows. Dr. Rickabaugh will provide a personalized treatment timeline during your consultation.
Give your child the gift of a healthy start. Contact Rosehill Dentistry today to schedule your consultation with Dr. Rickabaugh and find out if the HealthyStart system is the right choice for your family.
We are happy to help you book an appointment or answer your questions. Please fill out our contact form and we will get back to you shortly!